12989 Jupiter Rd. Suite #106
Dallas, TX 75238
Please Call:
214-343-9115
About Our Office
Meet Dr. Jennifer Nguyen
Meet Dr Sterling Green
Meet Our Family
Meet Our Team
Patient Reviews
Dental Services
Cosmetic Dentistry
Invisalign
Porcelain Veneers
Teeth Bonding
Teeth Whitening
General Dentistry
Emergency Dentistry
Sedation Dentistry
Family Dentistry
Custom Mouthguard
Tooth Extraction
Restorative Dentistry
Dental Crown
Dental Bridge
Dental Implants
Dentures & Partials
Periodontal Disease Treatment
For Patients
Patient Forms
Payment & Insurance
Leave a Review
Blog
Membership Plan
Smile Gallery
Contact Us
Careers
Request An Appointment
Menu
Book
Contact
Dallas, TX, Dental
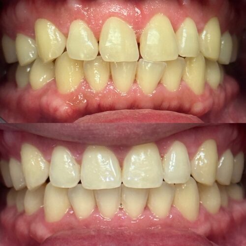
Invisalign Results Smile Gallery